Woman looking at her tooth

Dental Crowns

Broken, decayed, or missing teeth can make chewing and speaking difficult. They can also take a toll on your confidence. A dental crown is a tooth-shaped cap that can repair or replace a lost tooth, restoring the look and function of your smile. Philadelphia-area cosmetic dentist Bruce J. Wilderman in Doylestown, PA, designs custom crowns that will make smiling a joy again.

What Is a Dental Crown?

/

In dentistry, a crown is a restoration commonly used to cover and protect a tooth after treatment for trauma, decay, or a root canal infection. Crowns are also used with dental implants to replace lost teeth. Once fitted, our custom crowns look and function just like natural teeth.

Why Choose Porcelain Crowns?

Porcelain dental crowns are typically the top choice for our patients in the Philadelphia area since they are durable, safe, and indistinguishable from natural teeth. Dr. Wilderman's finely crafted custom crowns can:

Enhance Your Smile

Dr. Wilderman will carefully match the color of your crown to your natural teeth so that it blends in seamlessly. His all-porcelain crowns let you avoid the telltale darkness around the gumline that typically occurs with porcelain-fused-to-metal crowns. 

Cover Stubborn Discoloration

When traditional whitening methods are not enough, dental crowns can cover an abnormal or discolored tooth to give you a whiter, brighter smile.

Protect a Weakened Tooth

Dental crowns can prevent further harm to a chipped or cracked tooth, which may help you avoid a dental infection. Crowns also strengthen weakened teeth, reducing the chances that they will break, wear down, or decay. 

Offer Versatility

The high-quality porcelain our practice in Greater Philadelphia uses is extremely durable, which allows us to use crowns as part of other dental procedures. For example, we can attach our porcelain crowns to dental implants to replace missing teeth or use crowns to hold a dental bridge in place. 

Real Patient Results

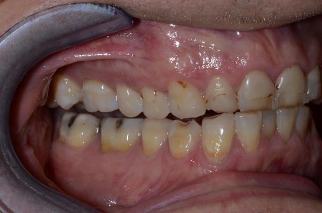
before dental crown
Before Deep stains and decay had taken a toll on this patient's smile.
after dental crown
After Treatment with custom crowns restored their dental appearance and function.

See Our Cosmetic Dentist To Improve the Form and Function of Your Smile

Dr. Wilderman takes every measure to ensure that a dental crown improves both the look and health of your smile. As a result of his personalized attention and natural-looking results, he has earned many outstanding reviews from his patients throughout the Philadelphia area. 

If you need to treat a damaged or missing tooth, visit Artistic Expressions Dentistry to find out whether a dental crown is right for you. If you're in the Bucks County area, contact us for an appointment or call our Philadelphia-area practice in Doylestown.

The Artistic Expressions Dentistry team
The Artistic Expressions Dentistry team draws patients from throughout the Philadelphia area.

Why Philadelphia-Area Patients Choose Us For Their Dental Needs

1

Helene Klig

2021

Google logo

The name of the dental practice is spot on.  Dr. Wilderman is a perfectionist and meticulous in his work; he treats every patient as if you're part of his family.  He is very kind and his dentistry is practically pain free.    I have visited many dentists in my life and in my experience, Dr. Wilderman is the best.

View On Google
1

Tammy Miller

2021

Google logo

...I never imagined I would smile as much as I do now- a genuine, full smile because I was so insecure about my teeth before Dr. Wilderman and staff fixed it.
I am so happy with the end result and with my whole experience with Artistic Expressions Dentistry. I would highly recommend to anyone!

View On Google

Is a Dental Crown The Right Solution for Me?

Woman looking at tooth

Dr. Wilderman at Artistic Expressions Dentistry in Doylestown, PA, can quickly determine if a dental crown is an answer to your dental issues. During a consultation, he will examine your mouth, review your medical history, and make a recommendation that addresses your cosmetic or restorative needs. If you do not have any underlying health issues, you will likely be a good candidate if you have a:

Cracked, chipped, or damaged tooth

Decayed tooth

Discolored tooth

Metal crown

Small or misshapen tooth

Our Patients Love Their New Dental Crowns Hear Adrianna's Story

Adrianna explains how a crown she had on her front tooth deteriorated over the years and made it difficult for her to smile confidently. She initially visited other dentists for treatment, but they recommended replacing both of her front teeth. Because she wanted a more conservative solution that would retain the tooth and surrounding teeth, she turned to Dr. Wilderman instead. He was able to enhance her smile with a new crown that restores her dental function and blends in seamlessly with the rest of her teeth.

A Closer Look at Dental Implants and Crowns The Most Reliable Treatment for Tooth Los

Dental implant

Crowns can do much more than strengthen weak teeth or enhance cosmetically flawed teeth. When paired with implants, they offer the most stable and lifelike solution for missing teeth. 

Implants are surgically anchored into the jawbone to replace the missing tooth roots and fuse with the jaw tissue over a period of several months. This allows them to provide unmatched stability for restorations like crowns, dental bridges, and dentures. Our implants are placed with precision to maximize dental function, and our restorations are made from high-quality materials that look and feel just like real teeth. 

We offer implant-supported crowns, dental bridges, and dentures at our practice so we can provide excellent treatment for patients with any extent of tooth loss. If you're interested in rejuvenating your smile with implants and restorations, please contact us online or visit our page on dental implants.

Our Dedication to Your Satisfaction  Is Made Clear During Your Consultation

Dentist and patient looking at monitor

Dr. Wilderman dedicates extensive consultation time to discussing your concerns and giving you realistic expectations. On average, he will spend 60 to 90 minutes with patients during consultations. Based on your goals, he can recommend the right crown materials and other options to give you the results you want. 

In addition to providing wax-ups, our practice uses photography and digital photo manipulation to show you how a single crown can enhance your smile.

Listen to Dr. Wilderman As He Explains Dental Crowns

Dr. Wilderman's priority is to ensure that you have a great understanding of your dental health and treatment options. When you visit him at our Philadelphia-area dentistry office, he will explain the treatments that can help you, like dental crowns, and how they work. He will also happily answer all your questions so that you feel comfortable and at ease with your decision.

Don't Let Worry Keep You From Feeling Your Best

Needing dental care can be stressful. Whether you have been dealing with insecurity about your dental appearance, tooth pain, or a root canal infection, our team has seen many people in the same position as you.

Our job is not to judge — it's to make you feel better. In fact, one of the most satisfying parts of dentistry is seeing our patients' happy smiles after their treatment.

If you are concerned about cost, we may be able to ease that burden as well. We accept CareCredit® financing so that you can afford a beautiful and healthy smile.

Ready to begin? Dr. Wilderman and the caring team at Artistic Smiles Dentistry are just a message away. Contact our Doylestown office to get started or call:

(215) 340-1199

Dr. Wilderman
Patients across Philadelphia and Doylestown know they can trust Dr. Wilderman with their dentistry needs.
"This is the best dentist I have had in my entire life. With several challenging issues with past dental work and to acknowledge and repair, replace, etc. everything smoothly, professionally, kindly is what I want others to know. The office is friendly, accommodating and spotless. AND, everyone there listens to you - especially Dr. Wilderman. I recommend him to everyone. You won't be disappointed." Earlene J.

The Process  Of Placing a Dental Crown

Dental crown treatment usually takes place over two appointments at our Doylestown office. We do not offer same-day crowns because we believe the best results are achieved when we work with skilled technicians who can hand-craft your restorations.
dental exam

Consultation

Dr. Wilderman will examine your teeth and determine whether a dental crown is right for you. Based on your needs, goals, and budget, he will also determine which materials will be used. 

treating a tooth

Preparation

To make room for your crown, Dr. Wilderman will remove damaged or decayed tissue from your tooth. The remaining tooth structure will then be slightly modified to accommodate a dental crown.  

Impression material placed in mouth

Impressions

Dr. Wilderman will take impressions of your prepared tooth and the surrounding teeth.

dental crown

Temporary Crown

You may be given a temporary crown to protect your tooth while your permanent crown is being crafted. Your temporary crown will look natural and allow you to eat and speak with comfort while you wait.

wax-up model

Wax-Ups

Dr. Wilderman will create a wax-up of your crown so you can preview your results. If you are happy with the look and fit of the wax-up crown, we can begin creating your permanent restoration. 

permanent dental crown

Crown Creation

Our practice has worked with the same dental lab for over 10 years. A ceramic artist will use your impressions to expertly craft your restoration. About three weeks later, you will receive your permanent crown.

dental appointment

Crown Placement

Once your crown is ready, you will come back to our office for a second appointment. Dr. Wilderman will gently remove your temporary crown, place the permanent crown over your tooth or dental implant, and thoroughly evaluate the fit and feel before securing it in place.

Dr. Wilderman will remove damaged or decayed tissue, conservatively reshape the remaining tooth structure, and place your permanent crown during your appointment at our Philadelphia-area office.

A Closer Look  At Placing Porcelain Crowns

Dr. Wilderman places porcelain crowns in two stages:

Stage One

The dentist will slightly alter your existing tooth structure. He will then make an impression of your teeth; this impression will be used to create your custom porcelain crowns at our partner lab. You will be provided with temporary crowns until the permanent crowns are ready.

Stage Two

About three weeks later, return to our office in the Philadelphia, PA, area so our dentist can gently remove your temporary crowns. He will then precisely bond your new porcelain crowns in place to meet your personal aesthetic and functional needs.

Have Confidence in Your Smile Call to Learn About Your Options

A chipped or cracked tooth can erode your confidence and make you hesitate to smile. Dr. Wilderman can help you overcome those feelings with beautifully designed crowns that not only rebuild your smile, but also your self-esteem.

Often recognized in Philadelphia Magazine for his cosmetic dentistry skills, Dr. Wilderman uses his many years of experience in dentistry to create custom crowns that can strengthen weakened teeth and restore your smile. 

 

Group taking a selfie


Ready to Get Started? 

Send us a message or call our practice in Doylestown to learn how you can improve your smile and protect your teeth with crowns. We're here to help. 

215-340-1199

"I've never had a better experience with a dentist." What Patients Around Philadelphia Are Saying About Our Dental Practice

1

Lexi Prater

2020

Google logo

I’ve never had a better experience with a dentist and their assistants than I’ve had at artistic expressions. As soon as you walk in the door, you’re comfortable. They answered all my questions and concerns with realistic answers/plenty of knowledge. If there was an option for more than 5 stars, I would of chose that. I am so happy with my results! I will continue to recommend them to everyone!

View On Google
1

Rachel D.

2020

Google logo

I couldn’t be happier with the outcome of the work done on my teeth by Dr. Wilderman and his team. The extensive care and consulting before my two veneers really made all the difference. Having broken my two front teeth as a child, and having inherited the same soft teeth that run in my family, I always had chipped front teeth. But, I had a fear of getting the front two Veneers done. Thankfully I found this office, and knew after looking at results of there work that I had nothing to fear. Finally I have the professional and natural smile I’ve always wanted. Thank you all!:)

View On Google

How To Care  For Your Dental Crowns

With proper care, porcelain restorations can last 15 years or longer. To get the most out of your new smile, you should:

Maintain a Dental Hygiene Routine

Healthy teeth and gums are essential if you want to prolong the life of your restorations. Brushing twice daily and flossing once daily will help prevent cavities, gum disease, and tooth decay, all of which can damage and shorten the lifespan of your dental crowns.

Get Routine Dental Checkups

Routine checkups are just as important as your at-home dental care. Seeing your dentist twice a year will help keep your gums and teeth healthy. It also gives Dr. Wilderman the opportunity to check on your restoration.  

Avoid Teeth Grinding

Grinding your teeth or clenching your jaw can wear down your porcelain restoration and shorten its lifespan. Bruxism also damages your natural teeth. If you suffer from bruxism, ask Dr. Wilderman about fitting you with a mouthguard to wear while you sleep, when many people grind their teeth unknowingly.

Avoid Biting Hard Objects

While quality porcelain is durable, it is not indestructible. Biting hard surfaces puts you at risk of chipping or damaging your restoration. Break the habit of biting your nails, chewing ice, or opening packages with your teeth to protect both your crowns and your teeth. 

How Much Do Dental Crowns Cost?

A crown typically costs between $1,500 and $2,000 at our practice. The majority of insurance plans contribute to at least a portion of the cost of dental crowns, as well as the preparatory treatment they require. Some premium materials will likely involve a greater out-of-pocket expense, but we believe in making the results you want affordable.​ We accept credit cards and work with CareCredit®, a third-party lender that offers flexible payment plans with little or no interest.

One Patient's Testimonial

In this video, our patient Susan explains that she fell and chipped her front teeth when she was young. Over the years, she went through every possible treatment, from porcelain veneers to root canals. In 2002, she chose Dr. Bruce Wilderman to enhance her smile with natural-looking dental crowns, and now she loves her smile.

Want Crowns and a More Beautiful Smile? Consider a Smile Makeover With Dr. Wilderman

You know your new crown can enhance the appearance and function of one tooth, but what if you want a brighter or more balanced smile overall? A smile makeover may be right for you.

A smile makeover is a customized treatment plan that allows you and Dr. Wilderman to work together to choose the cosmetic treatments best suited to your unique smile goals. Our smile makeover patients often combine crowns with teeth whitening, gum contouring, or Invisalign® for truly transformative cosmetic results.

By combining carefully selected procedures, this treatment plan can give you your dream smile. Ready to get started with a consultation at our Philadelphia-area office? Contact us online or call:

Dr. Wilderman portrait

Another Excellent Review For Dr. Wilderman

Dr. Wilderman is the best!  I have had a history of terrible dentists in this area trying to correct my front crown.  Dr. Wilderman made sure that I was completely happy with my smile.   He and his team are the most attentive, genuine and professional staff... Highly recommend!! Amy Cipolla - 2022

Take Charge Of Your Oral Health

A simple crack or chip in your tooth may not seem like a dental emergency, especially if you don't have any obvious signs or symptoms. However, a weakened tooth can lead to serious dental issues, such as breakage or a root canal infection. If it's been a while since you've visited the dentist, a checkup can help you avoid a more costly dental procedure down the road. If you've missed your dental checkups: 

Answering Common Questions About Dental Crowns and Root Canal Therapy

What Is Root Canal Therapy?

When bacteria reaches the pulp of our teeth, it can lead to something called a root canal infection. This condition is common and treatable, especially if you act as soon as you notice symptoms. You can watch out for signs like sensitivity to heat or cold, tooth discoloration, or a pimple on the gums.

Why Are Crowns Used With Root Canal Therapy?

In some cases, a root canal infection or the treatment to eliminate it can compromise the structure of your tooth. This may lead to further breakage or infection without protection from a crown. Molars in particular are more likely to need restorations. Luckily, crowns are an effective and natural-looking fix that can easily help you prevent future problems.

Are Crowns Always Required After Root Canals?

It's entirely possible that you may not need a crown after your root canal, especially if the infection affected a front tooth. Dr. Wilderman only conducts dentistry procedures if they are necessary. He will clearly explain your options and provide care that you can trust.

"I was elated and relieved to find Dr Wilderman." Bucks County Loves Our Office

1

Danielle Albert

2019

Google logo

Everyone at Artistic Expressions Dentistry was absolutely fantastic!  My smile now looks wonderful and they made the process so easy.  Dr. Wilderman made sure everything was perfect and I was completely satisfied.  Wonderful experience!

View On Google
1

Melanie West

2018

Google logo

I spent hours researching top cosmetic dentists to have my discolored front teeth improved.  I was elated and relieved to find Dr Wilderman.  I felt confident the moment I called for my first appointment.  Janette, at the front desk, is so friendly and welcoming.  You can feel the closeness of the staff and Dr Wilderman...

View On Google
Dr. Wilderman on cover of suburban life

Artistic Expressions Dentistry

Dr. Bruce Wilderman has been providing comprehensive cosmetic dentistry services since 1986. By combining a true sense of artistry with state-of-the-art technology, he can provide stunning results. At Artistic Expressions Dentistry, we are proud to be affiliated with:

  • The American Dental Association
  • The American Academy of Cosmetic Dentistry

For more information about our services, contact our practice online or call (215) 340-1199 today.

Get In Touch

Rate, Review & Explore

Social Accounts Sprite